|
|
|
 |
 |
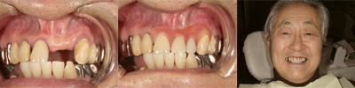
顎の骨の中に人工の歯根を埋め込む方法です。
残りの歯が少なく入れ歯しかできない場合には特に快適な食生活(咀嚼生活)を取り戻すことが可能です。
また、入れ歯とインプラントをミックスすることで大きい入れ歯を小さくすることができ、発音もしやすく異物感も少なくなります。(ロケーターアバットメント)
上記のように、インプラントによるかむ力は、ほとんど自然歯と変わりません。
ただし、ほかの歯と同じように、定期的なメンテナンスが必要となります。自由診療となりますので、費用もそれなりにかかります。
医師と相談の上で、最も適した治療方法をお選びください。 |
|