入れ歯治療:青物横丁の歯医者さん、わたなべ歯科クリニック

 |  入れ歯 |  歯周病 |  ホワイトニング |  審美歯科 |  一般歯科 |  医院案内 |  インプラント |  歯列矯正 |

青物横丁の歯医者さん、わたなべ歯科クリニック
東京都品川区南品川3-6-30柳下ビル1F 03-5715-4117
Space
入れ歯の種類について << 入れ歯治療インデックス << TOP  
img img

入れ歯の治療について

こちらのページでは、わたなべ歯科クリニックのいれば治療についてご確認いただけます。

img
Space
Space

保険内の入れ歯

Space
保険内のばね式総入れ歯 Space

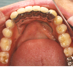
保険内のばね式入れ歯(クラスプデンチャー)

保険内の部分入れ歯基本的にすべてプラスチックのため床部分が厚くなり快適さが損なわれます。噛む機能や審美性は、どうしてもばね式のためある程度の限界があります。また、ばね式の場合、いればの取り外しの時に歯をゆすってしまいますので歯を痛めてしまう原因になります。

Space
Space
Space

自費治療の入れ歯(保険適用外)

Space
ソフトデンチャー Space

ソフトデンチャー(バネの無い入れ歯)

バネのない入れ歯です。見た感じもきれいで食べ物が詰まりにくい入れ歯です。また、歯を削らずにすみ、小さくて薄くて異物感が少なくてすみます。  [ 詳細 ]

Space
:Space
Space
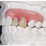
ミリングデンチャー Space

ミリングデンチャー(フィット感の良い入れ歯)

入れ歯の取り外しの時に歯を痛めてしまう「歯をゆする力」がかからず、審美的、フィット感にも優れた入れ歯です。歯の状態によっては、保険の入れ歯より小さくて、薄くて、違和感が少なく、すっきりした咬み心地に出来ます。

Space
Space
Space
OPAデンチャー Space

OPAデンチャー(さらに薄い入れ歯)

ミリングデンチャーと同様に歯に優しく、取り外しが楽で、より小さく薄くすっきりとしたはめ心地です。

Space
Space
Space
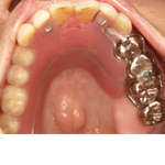
コーヌスデンチャー Space

コーヌスデンチャー(やさしいフィット感の入れ歯)

やはり歯に優しく、しっかりとしたフィット感、装着感で、おいしくお食事が出来る入れ歯です。

Space
Space
Space
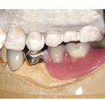
磁性アタッチメント Space

磁性アタッチメント(磁石の入れ歯)

残っている歯が弱っている時でも、その歯の部分に磁石をつけて入れ歯をはずれにくくできます。
磁性アタッチメント

Space
Space
Space
ブリッジ Space

ブリッジ

抜けた歯の部分に両隣の健康な歯より人工歯を橋渡しする治療法です。

Space
Space
Space
その他のアタッチメント Space

その他のアタッチメント(患者様に合った入れ歯の作成)

その他にも患者様の歯に合った、出来るだけ装着感に優れた入れ歯をおつくりする方法をご説明いたします。

Space
Space
Space
Space
Space
PageUp ] 
わたなべ歯科クリニックフッターメニューSpace
わたなべ歯科クリニックフッターメニュー:Space

Copyright ©わたなべ歯科クリニック. All Rights Reserved.東京都品川区南品川、青物横丁の歯医者さん「わたなべ歯科クリニック」
わたなべ歯科クリニックは口コミランキング「デンターネット」に参加しています。