審美歯科の種類:青物横丁の歯医者さん、わたなべ歯科クリニック

 |  入れ歯 |  歯周病 |  ホワイトニング |  審美歯科 |  一般歯科 |  医院案内 |  インプラント |  歯列矯正 |

青物横丁の歯医者さん、わたなべ歯科クリニック
東京都品川区南品川3-6-30柳下ビル1F 03-5715-4117
Space
審美歯科の種類 << 審美歯科インデックス << TOP  
img img

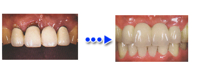
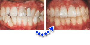
審美歯科の種類について

こちらのページでは、わたなべ歯科クリニックの審美歯科の種類についてご確認いただけます。

img
Space
Space

保険適用内の審美歯科について

Space

レジン充填

虫歯を除去して白い詰め物で治療する方法です。また、歯が着色している場合に白くするために、保険内で治療する方法です。

奥歯の詰め物 Space 前歯のレジン充填
Space
Space
Space

硬質レジン(HJK)(硬質レジン前装冠)

歯の色に近い合成樹脂で全体をかぶせる方法です。お水を吸収するため、何年かたつと変色してきます。

硬質レジン(HJK)(硬質レジン前装冠)
Space
Space
Space
Space

保険適用外の審美歯科について(自費治療)

目立たず、天然歯に近い樹脂を使った修復天然歯に近い素材を使った樹脂を利用することで、保険内の素材に比べ目立たず、滑りにくい状態にすることが可能です。

Space

ダイレクトボンディング

表面だけを削ってきれいにする審美的な方法です。人工の歯を被せる方法違い、自分の歯を研磨することによって白さを復元する方法です。

ダイレクトボンディング
Space
Space
Space

オールセラミック

歯と同じくらい強度があり、セラミックの性質で見た目にもほとんど歯と同じような透明感で作れます。色も変わりません。

オールセラミック
Space
Space
Space

ハイブリッド

ハイブリッド Space

レジンとセラミックを利用した材質で、セラミックより安価な素材です。歯の間が空いていたり、歯が短くなっているのを かぶせて直します。

Space
Space
Space

ゴールド(金歯)

ゴールド(金歯) Space

細かい成型が可能で、適度な柔軟性があるため、装着感が安定します。

Space
Space
Space
Space
PageUp ] 
わたなべ歯科クリニックフッターメニュー:Space
わたなべ歯科クリニックフッターメニュー:Space

Copyright ©わたなべ歯科クリニック. All Rights Reserved.東京都品川区南品川、青物横丁の歯医者さん「わたなべ歯科クリニック」
わたなべ歯科クリニックは口コミランキング「デンターネット」に参加しています。